
Dr. Leonard Umanoff is an accomplished and compassionate dentist in Brooklyn, New York. He’s renowned for his expertise in implantology, a specialized form of dentistry that deals specifically with the use of various implants to address specific dental challenges. In addition, Dr. Umanoff is a Moscow State University of Medicine and Dentistry and NYU College of Dentistry graduate and a member of the Second District Dental Society, North East Regional Board of Dental Examiners, International Congress of Oral Implantologists. In addition to his specialty in implant dentistry, Dr. Umanoff is Zoom! Whitening System Certified and trained in the CEREC System
In addition to his specialty in implant dentistry, Dr. Umanoff is Zoom!
Whitening System Certified and trained in the CEREC System

Best Rated Practitioner in Brooklyn
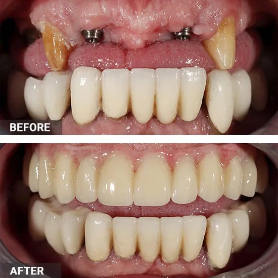
Experience the seamless process of dental implant procedures, expertly handled from start to finish by Dr. Umanoff
Instill healthy habits early for a lifetime of optimal oral health with our specialized pediatric dentistry
Benefit from the convenience of same-day crowns crafted in our state-of-the-art lab for efficient and effective solutions
Receive specialized root canal treatments by the board-certified expert, Dr. Leknaphal, ensuring precision and care
Prioritize your oral health with preventive measures through our professional cleaning services
Perfect your smile with the expertise of our cosmetic specialists, enhancing both aesthetics and confidence
Achieve the smile of your dreams with customized veneers tailored to your desires. Welcome to a journey towards a healthier, more radiant smile at our practice
Schedule your first appointment to experience the difference in our commitment to your oral health and satisfaction.




At our dental center, we believe every smile tells a story of care and precision. Discover how we’ve enhanced lives one smile at a time.

This was truly an awesome dental experience! Dr. Umanoff was so nice and really helpful. He gave me a bunch of extra dental tips. The staff was very kind and caring. Jackie cleaned my teeth and was kind and had great dental tips as well! Really enjoyed my visit to the dentist there, and that makes a difference!
Alissa M. Google ReviewsLook no further if you are in search for THE best dentist in Brooklyn. Doctor Umanoff will make you feel comfortable and explain any and all procedures necessary, in a calm and easy to absorb manner. His staff are impeccable and his office is state of the art. Enjoy a beautiful floor to ceiling glass window view while getting your procedure done. The time will fly and you will wonder where the time went.
Nathan M. Google ReviewsAn amazing clinic!!! I just moved to the area from Long Island and needed to check on my tooth. I was pleasantly surprised by the high level of technology, professionalism, and customer service! So happy that I found my new dentist office. Highly recommend!!!
Stanislava K. Google ReviewsThe most professional and patient dentist I’ve ever had the pleasure of meeting. From the moment I came into the office I was greeted by staff right away waited no more than 2 minutes for the doctor , he was very patient and careful to explain what kind of procedure I needed and made sure to stop anytime I experienced any sort of discomfort , the procedure itself was Virtually painless and I recommend the dental services of this dental center to everyone and everybody
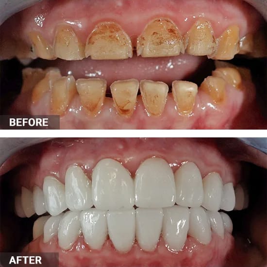
Matthew V. Google ReviewsLuxDen Dental Implant Center in Sheepshead Bay, Brooklyn, offers patients life-changing results and lasting improvements to their smiles. After a thorough exam and X-rays, our cosmetic dentist creates personalized treatment plans for patients of all ages. Cosmetic dentistry focuses on enhancing the appearance of the teeth, gums, and mouth. While not always intended to improve function, these treatments can greatly benefit patients who feel self-conscious about imperfections.
One of the most popular options is dental veneers. These thin, custom-made shells are bonded to the front surface of teeth to improve their shape, size, color, or length. Veneers can be crafted from porcelain or composite resin and are commonly used to repair chipped, broken, worn, misaligned, uneven, gapped, or discolored teeth — helping you achieve a brighter, more confident smile.
Want to learn more about cosmetic dentistry, dental crowns, or implants at LuxDen? Give us a call to book your dental exam with our experienced team. We’re committed to providing high-quality care, using the latest technology and the best materials available. To explore our full range of dental services or to schedule your appointment, contact us today at (718) 489-2966.
Our dental office is equipped with state-of-the-art technology, providing a clean and comfortable environment for our patients.

Searching "dental offices near me"? LuxDen Dental Center in Sheepshead Bay offers advanced comprehensive services for patients of all ages focusing on comfort and long-term results.
Dr. Leonard Umanoff leads the LuxDen team with over 20 years of experience in implantology, cosmetic dentistry, and pediatric care. He is board-certified, trained at Moscow State University of Medicine and Dentistry and NYU College of Dentistry, and holds memberships in the International Congress of Oral Implantologists (ICOI) and the Second District Dental Society.
LuxDen Dental Center is equipped with cutting-edge technology, including the Sirona Orthophos SL 3D imaging system and CEREC same-day crown solutions, which allow precise diagnostics and efficient treatment. With a combination of expertise, advanced tools, and a patient-focused approach, LuxDen ensures that Brooklyn residents receive exceptional dental care nearby.
During your first visit to our dentistry clinic, you can expect a comprehensive examination to assess your oral health. Your dentist will review your medical and dental history, take X-rays if necessary, and check for signs of decay, gum disease, or other dental problems. They may also offer a professional cleaning to remove plaque and tartar. After the examination, your dentist will discuss individual treatment recommendations and answer your questions so that you feel comfortable and informed. Our dentists in Brooklyn at LuxDen Dental Center are dedicated to providing exceptional care in a welcoming environment.
We recommend scheduling check-ups and dental cleanings at our dental center every six months to ensure optimal oral hygiene. Regular visits allow us to detect abnormalities early and prevent more serious problems. However, if you have certain problems such as gum disease, frequent tooth decay, or wear braces, we may recommend more frequent visits to maintain a healthy and beautiful smile.
The numbness usually lasts 2 to 4 hours after a dental procedure, depending on the type of anesthesia used. In some cases, slight tingling may persist for an additional hour or two.
Yes, our dental office is open on Saturdays from 10:00 AM to 3:00 PM to accommodate patients with busy schedules. Contact us to book your Saturday appointment.